
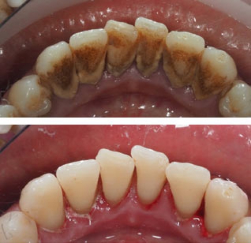
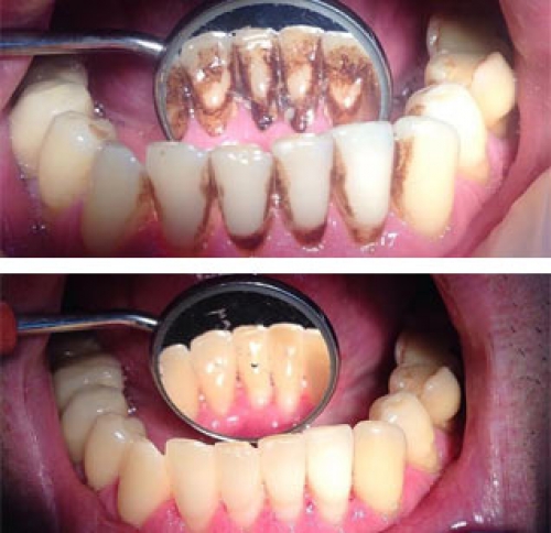
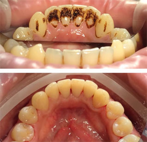
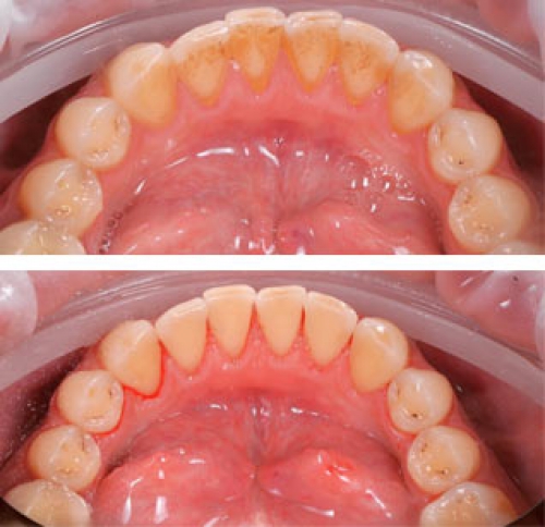
Только до 31 декабря 2025 г.:
Профессиональная гигиена полости рта всего за 3 600 руб. (старая цена 4 200 руб.)
Что входит в процедуру гигиены полости рта:
В чём польза профессиональной гигиены полости рта?
Запись по телефону: (8352) 500 – 233
Приходите по адресу: г. Чебоксары, Эгерский бульвар, 42, пом. 1
Это значит, что место знают, любят и сюда точно нужно зайти
Сайт ПроДокторов определил лучших врачей и лучшие клиники страны по отзывам пациентов.
Неоднократно становились победителями Рейтинга частных стоматологий Startsmile top
Ведущие врачи Чебоксар в одной клинике
Бекаев
Франция
Россия
Бекаева
Франция
Россия
Душков
Россия
Чалдышкина
Россия
Перец
Россия
Перелыгин
РоссияМы предоставляем своим пациентам стоматологические услуги высокого качества. Чтобы убедиться в этом - изучите независимое мнение о нас от пациентов и авторитетных порталов.
Медицинская лицензия
Л011-02121-21/01334551
от 17.05.2023 г.
ООО "Жемчуг"
ИНН 21303455645
ОГРН 3433556
Сайт не является публичной офертой и носит ознакомительный характер
