
Это значит, что место знают, любят и сюда точно нужно зайти
Сайт ПроДокторов определил лучших врачей и лучшие клиники страны по отзывам пациентов.
Неоднократно становились победителями Рейтинга частных стоматологий Startsmile top
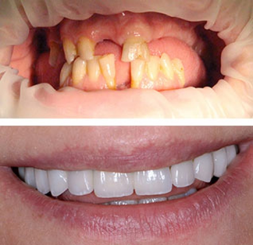
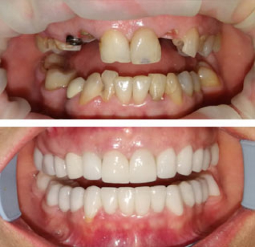
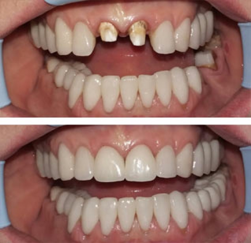
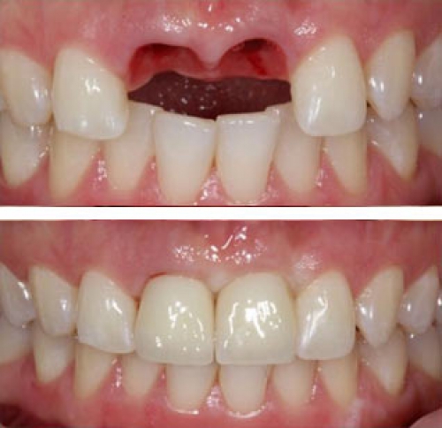
Имплантация — один из лучших способ восстановить утраченный зуб. Зубной имплантат — искусственный корень из титана, который устанавливается в кость челюсти. Затем на него будет изготовлена коронка, и таким образом стоматолог воссоздаст искусственный зуб, не менее функциональный и не отличающийся от остальных внешне. Титан — биосовместимый материал, который не отторгается организмом и не вызывает аллергии и других побочных эффектов.
Методики имплантации
Ведущие врачи Чебоксар в одной клинике
Бекаев
Франция
Россия
Бекаева
Франция
Россия
Душков
Россия
Чалдышкина
Россия
Перец
Россия
Перелыгин
РоссияМы предоставляем своим пациентам стоматологические услуги высокого качества. Чтобы убедиться в этом - изучите независимое мнение о нас от пациентов и авторитетных порталов.
Медицинская лицензия
Л011-02121-21/01334551
от 17.05.2023 г.
ООО "Жемчуг"
ИНН 21303455645
ОГРН 3433556
Сайт не является публичной офертой и носит ознакомительный характер
