
Это значит, что место знают, любят и сюда точно нужно зайти
Сайт ПроДокторов определил лучших врачей и лучшие клиники страны по отзывам пациентов.
Неоднократно становились победителями Рейтинга частных стоматологий Startsmile top
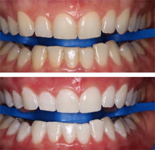
Красота и здоровье зубов являются естественным желанием каждого человека. Для воплощения этой мечты необходим правильный уход за полостью рта. Для создания и поддержания идеальной улыбки требуется регулярное посещение стоматолога. Он обеспечит проведение следующих стоматологических процедур: удаление зубного камня и налета, отбеливание и профессиональная чистка зубов. Тем более, что сегодня у вас есть возможность отбелить зубы всего за 45 минут с помощью революционной системы отбеливания Zoom. В стоматологии "Для Вас" представлены одни из самых эффективных и бережных видов отбеливания:
Запишитесь на консультацию сегодня и уже завтра Ваша улыбка будет сиять.
Ведущие врачи Чебоксар в одной клинике
Бекаев
Франция
Россия
Бекаева
Франция
Россия
Душков
Россия
Чалдышкина
Россия
Перец
Россия
Перелыгин
РоссияМы предоставляем своим пациентам стоматологические услуги высокого качества. Чтобы убедиться в этом - изучите независимое мнение о нас от пациентов и авторитетных порталов.
Медицинская лицензия
Л011-02121-21/01334551
от 17.05.2023 г.
ООО "Жемчуг"
ИНН 21303455645
ОГРН 3433556
Сайт не является публичной офертой и носит ознакомительный характер
